Contents

SynopsisCodesLook ForDiagnostic PearlsDifferential Diagnosis & PitfallsBest TestsManagement PearlsTherapyReferences

View all Images (10)

Herpes simplex virus pneumonia - Pulmonary
Other Resources UpToDate PubMed

Herpes simplex virus pneumonia - Pulmonary

Contributors: Susan Voci MD, Sumanth Rajagopal MD, William Bonnez MD
Other Resources UpToDate PubMed

Synopsis

Herpes simplex pneumonia (HSP), or tracheobronchial infection, occurs when the respiratory tract is infected with the herpes simplex virus (HSV). HSP typically occurs in immunosuppressed patients such as those who are neutropenic from chemotherapy, immunosuppressed following organ transplantation, or are immunocompromised from HIV/AIDS or other immunodeficiency diseases. HSP has also been reported in patients who are not immunosuppressed. In most instances, infections were related to other risk factors such as smoke inhalation, recent major surgery, coexisting bacterial pneumonia, or airway injury from intubation. HSP is reported in all ages from infants and children to extreme old age.

Symptoms of HSP include dyspnea, fever, and nonproductive cough. Symptoms can be mild to severe; some patients can have a smoldering course with minimal fever. HSP is treatable with acyclovir but can be life threatening.

Related topic: community-acquired pneumonia

Codes

ICD10CM:
J17 – Pneumonia in diseases classified elsewhere

SNOMEDCT:
233624006 – Herpes simplex pneumonia

Look For

Subscription Required

Diagnostic Pearls

Subscription Required

Differential Diagnosis & Pitfalls

To perform a comparison, select diagnoses from the classic differential

Subscription Required

Best Tests

Subscription Required

Management Pearls

Subscription Required

Therapy

Subscription Required

References

Subscription Required

Last Updated:12/01/2020
Copyright © 2026 VisualDx®. All rights reserved.
Herpes simplex virus pneumonia - Pulmonary
A medical illustration showing key findings of Herpes simplex virus pneumonia : Fever, Dyspnea, Mechanically ventilated, Dry cough, WBC decreased
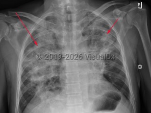
Imaging Studies image of Herpes simplex virus pneumonia - imageId=2953740. Click to open in gallery.  caption: 'Frontal chest x-ray with bilateral air space consolidation, right lobe, (long red arrow), greater than left, (short red arrow).'
Frontal chest x-ray with bilateral air space consolidation, right lobe, (long red arrow), greater than left, (short red arrow).
Copyright © 2026 VisualDx®. All rights reserved.