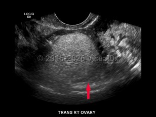
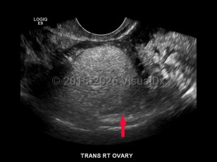
Ovarian cysts
Alerts and Notices
Important News & Links
Synopsis

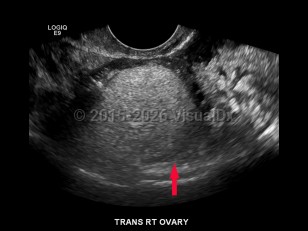
Ovarian cysts are most commonly asymptomatic and diagnosed incidentally on physical exam or imaging. Sometimes the patient with an ovarian cyst may present with acute or chronic abdominal pain.
Depending on the underlying etiology, an ovarian cyst might develop slowly or rapidly. Rapidly forming cysts may be more likely to cause pain. Ovarian cysts, especially functional or physiologic cysts, often resolve spontaneously.
Contraceptive agents that inhibit ovulation decrease the risk of formation of physiologic cysts.
Related topic: Teratoma of ovary
Codes
N83.209 – Unspecified ovarian cyst, unspecified side
SNOMEDCT:
79883001 – Cyst of ovary
Look For
Subscription Required
Diagnostic Pearls
Subscription Required
Differential Diagnosis & Pitfalls
Subscription Required
Best Tests
Subscription Required
Management Pearls
Subscription Required
Therapy
Subscription Required
Drug Reaction Data
Subscription Required
References
Subscription Required
Last Updated:12/03/2017