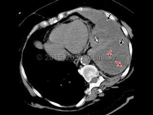
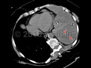
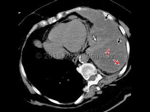
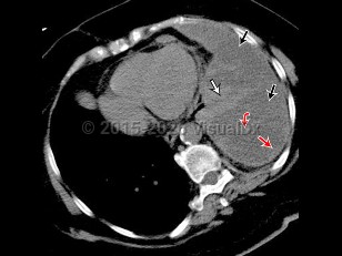
Clinically, effusions may be categorized as either transudates or exudates. Thoracentesis and laboratory evaluation as well as radiographic characteristics distinguish between these types.
History and imaging findings may support one etiology of pleural effusion over another, but analysis of the pleural fluid provides more definitive diagnosis as well as therapeutic management in cases where the pleural effusion is impeding respiratory status.
Transudative pleural effusions are due to conditions in which there is an imbalance in hydrostatic and oncotic forces such as with heart failure, cirrhosis, or nephrotic syndrome.
Exudative effusions are due to inflammation from infection or noninfectious etiologies, injury, malignancy, and impaired lymphatic drainage. The primary method of distinguishing transudate from exudate is Light's criteria:
- Pleural fluid protein to serum protein ratio >0.5, or
- Pleural fluid lactate dehydrogenase (LDH) to serum LDH ratio >0.6, or
- Pleural fluid LDH >2/3 upper limit of laboratories' normal LDH
