Emergency: requires immediate attention
Septic arthritis
Alerts and Notices
Important News & Links
Synopsis
An infection of a joint most frequently caused by bacteria (although fungi, parasites, and mycobacteria may also rarely cause this infection).
This infection occurs most commonly as a result of hematogenous seeding of the joint in the setting of bacteremia. A joint may be inadvertently inoculated with a pathogen at the time of surgery or trauma. In some patients, a severe soft tissue infection may spread to involve a nearby joint.
Common pathogens responsible for this infection include Staphylococcus aureus, Streptococcus species, gram-negative bacilli, and Neisseria gonorrhoeae.
Risk factors for this infection include old age, diabetes mellitus, recent joint surgery or procedure, skin infection, the presence of a prosthetic joint, or immunosuppression. Patients with rheumatoid arthritis or who abuse intravenous (IV) drugs are also at increased risk for this infection.
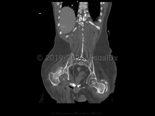
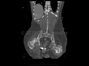
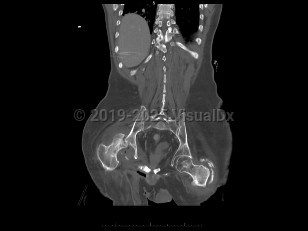
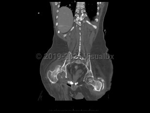
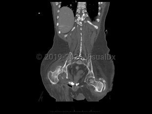
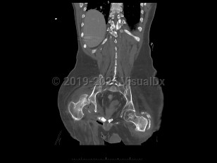
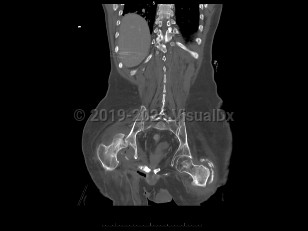
Patients present with a swollen, warm, stiff, and painful joint. Fever may be present. The majority of the time, a single joint (usually the knee) is involved. Symptoms develop over 1-2 weeks. If the infection is caused by N gonorrhoeae, patients classically also present with a rash and tenosynovitis. If the infection is due to fungi or mycobacteria, the symptoms may be subtler and may worsen more gradually.
Diagnosis can be made by arthrocentesis. Joint fluid should be sent for analysis including cell count, microscopic analysis for crystals, Gram stain, and bacterial culture. Additional cultures of the joint fluid can be obtained if an atypical pathogen is suspected by history or examination.
Treatment requires drainage of the joint (surgically or by repeated needle aspiration) in combination with antimicrobial therapy.
Related topics: ankle septic arthritis, knee septic arthritis, pediatric hip septic arthritis
This infection occurs most commonly as a result of hematogenous seeding of the joint in the setting of bacteremia. A joint may be inadvertently inoculated with a pathogen at the time of surgery or trauma. In some patients, a severe soft tissue infection may spread to involve a nearby joint.
Common pathogens responsible for this infection include Staphylococcus aureus, Streptococcus species, gram-negative bacilli, and Neisseria gonorrhoeae.
Risk factors for this infection include old age, diabetes mellitus, recent joint surgery or procedure, skin infection, the presence of a prosthetic joint, or immunosuppression. Patients with rheumatoid arthritis or who abuse intravenous (IV) drugs are also at increased risk for this infection.
Patients present with a swollen, warm, stiff, and painful joint. Fever may be present. The majority of the time, a single joint (usually the knee) is involved. Symptoms develop over 1-2 weeks. If the infection is caused by N gonorrhoeae, patients classically also present with a rash and tenosynovitis. If the infection is due to fungi or mycobacteria, the symptoms may be subtler and may worsen more gradually.
Diagnosis can be made by arthrocentesis. Joint fluid should be sent for analysis including cell count, microscopic analysis for crystals, Gram stain, and bacterial culture. Additional cultures of the joint fluid can be obtained if an atypical pathogen is suspected by history or examination.
Treatment requires drainage of the joint (surgically or by repeated needle aspiration) in combination with antimicrobial therapy.
Related topics: ankle septic arthritis, knee septic arthritis, pediatric hip septic arthritis
Codes
ICD10CM:
M00.80 – Arthritis due to other bacteria, unspecified joint
SNOMEDCT:
396234004 – Infective arthritis
M00.80 – Arthritis due to other bacteria, unspecified joint
SNOMEDCT:
396234004 – Infective arthritis
Look For
Subscription Required
Diagnostic Pearls
Subscription Required
Differential Diagnosis & Pitfalls
To perform a comparison, select diagnoses from the classic differential
Subscription Required
Best Tests
Subscription Required
Management Pearls
Subscription Required
Therapy
Subscription Required
References
Subscription Required
Last Updated:02/05/2024
Emergency: requires immediate attention
Patient Information for Septic arthritis
Premium Feature
VisualDx Patient Handouts
Available in the Elite package
- Improve treatment compliance
- Reduce after-hours questions
- Increase patient engagement and satisfaction
- Written in clear, easy-to-understand language. No confusing jargon.
- Available in English and Spanish
- Print out or email directly to your patient
Upgrade Today
Emergency: requires immediate attention
Septic arthritis
