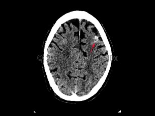
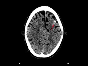
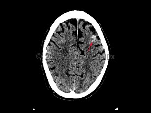
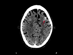
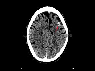
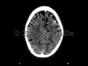
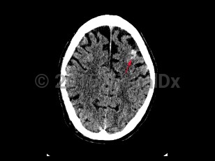
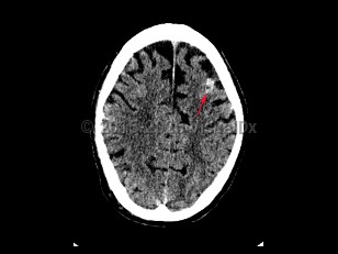
Subarachnoid hemorrhage (SAH) is bleeding directly into the cerebrospinal fluid (CSF) within the subarachnoid space that surrounds the brain. It usually presents as a severe sudden-onset headache, often described as the worst headache of the patient's life, with radiation of pain down the neck and back. Onset of headache may be accompanied by a brief loss of consciousness, nausea, vomiting, and meningismus. SAH occurs in about 10 per 100 000 people per year. Incidence increases with age and peaks in the sixth decade of life. Risk factors include female sex, smoking, alcohol use, drug abuse, hypertension, oral contraceptive use, known cerebral vascular malformation, collagen vascular disease, and family history of SAH. In the United States, African Americans are at higher risk.
Cerebral aneurysms > 5-7 mm are most likely to rupture. Approximately 1%-3% of patients visiting the emergency department for a headache are subsequently found to have a SAH. Trauma is the most common cause of SAH; however, nontraumatic SAH is found to result from a ruptured saccular aneurysm in 80% of cases. Patients with SAH require close monitoring and often require intensive care unit admission.
Approximately 10%-15% of patients die before reaching medical care. Even with appropriate care, the mortality rate from SAH is approximately 25%-50%. About one-half of patients who survive have significant morbidity.
Related topic: drug-induced stroke
Potentially life-threatening emergency
Subarachnoid hemorrhage
Alerts and Notices
Important News & Links
Synopsis
Codes
ICD10CM:
I60.9 – Nontraumatic subarachnoid hemorrhage, unspecified
SNOMEDCT:
21454007 – Subarachnoid intracranial hemorrhage
I60.9 – Nontraumatic subarachnoid hemorrhage, unspecified
SNOMEDCT:
21454007 – Subarachnoid intracranial hemorrhage
Look For
Subscription Required
Diagnostic Pearls
Subscription Required
Differential Diagnosis & Pitfalls
To perform a comparison, select diagnoses from the classic differential
Subscription Required
Best Tests
Subscription Required
Management Pearls
Subscription Required
Therapy
Subscription Required
References
Subscription Required
Last Reviewed:10/02/2018
Last Updated:05/23/2023
Last Updated:05/23/2023
Potentially life-threatening emergency
Subarachnoid hemorrhage
