Contents

SynopsisCodesLook ForDiagnostic PearlsDifferential Diagnosis & PitfallsBest TestsManagement PearlsTherapyReferences

View all Images (4)

Plasma cell vulvitis - Anogenital in
Other Resources UpToDate PubMed

Plasma cell vulvitis - Anogenital in

Contributors: Vivian Wong MD, PhD, Mitchell Linder MD, Susan Burgin MD
Other Resources UpToDate PubMed

Synopsis

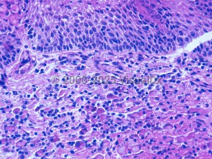
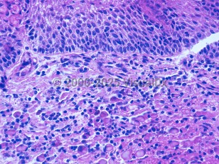
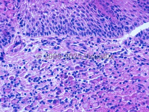
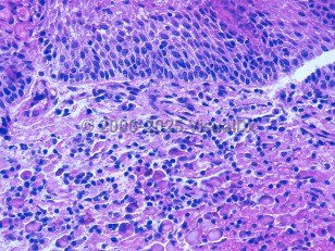
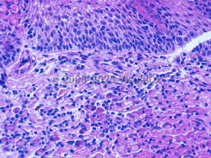
Plasma cell vulvitis, or Zoon disease, refers to an extremely rare skin condition where, secondary to inflammation, the vulva becomes irritated, leading to patient complaints of itching and discomfort.

The etiology is unknown but is thought to be related to viral elements, trauma, and/or chronic irritation. The condition tends to be diagnosed in postmenopausal patients.

Patients can present with long-standing complaints of mild itching, pain, burning, and/or bleeding of the vulva. Symptoms may coincide with intercourse. Often, patients report just that a specific area of the vulva is uncomfortable or annoying. Many patients will be asymptomatic and unaware of any issues.

Codes

ICD10CM:
N76.3 – Subacute and chronic vulvitis

SNOMEDCT:
238921004 – Plasma cell vulvitis

Look For

Subscription Required

Diagnostic Pearls

Subscription Required

Differential Diagnosis & Pitfalls

To perform a comparison, select diagnoses from the classic differential

Subscription Required

Best Tests

Subscription Required

Management Pearls

Subscription Required

Therapy

Subscription Required

References

Subscription Required

Last Reviewed:07/09/2020
Last Updated:07/09/2020
Copyright © 2026 VisualDx®. All rights reserved.
Plasma cell vulvitis - Anogenital in
Copyright © 2026 VisualDx®. All rights reserved.