There has been some research in recent decades indicating an increased rate of cryptorchidism along with hypospadias – another of the most common congenital disorders of the urogenital system. This data, which seems inconsistent across the United States, is thought to be related to both demographic changes and increased exposure to chemicals causing endocrine disruption.
The pathogenesis of this condition is thought to be variable, although it is often related to a failure of the pituitary-gonadal axis in late gestation with an absent luteinizing hormone (LH) surge or a blunted testicular response. Other genetic defects can cause a failure of descent, although the exact mechanisms for the regulation of testicular descent have not yet been elucidated.
What is clear, however, is the general timeline for testicular descent, which proceeds in 2 phases. First, the testes migrate transabdominally during the first trimester and, by the 25th week of gestation, are usually located at the internal ring of the inguinal canal. The second phase, inguinoscrotal migration, requires androgenic signaling and is usually complete by 30 weeks. For this reason, premature males are at greatly increased risk of failed migration. Clearly identified risk factors for cryptorchidism include:
- Low birth weight (the most significant risk factor – infants < 900 g have a nearly 100% chance of cryptorchidism)
- Low gestational age (approximately 30% of premature infants will be born with at least one undescended testis)
- Twin births
- In-utero exposure to known endocrine disruptors such as diethylstilbestrol (DES) and some pesticides
- Patent processus vaginalis in 90% of boys with an undescended testis
- Infertility risk is doubled in untreated unilateral undescended testis and may be as high as 35% in bilateral cases.
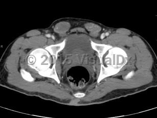
- Testicular cancer – The relative risk of testicular cancer is 2.75-8 if uncorrected, 2-3 in patients who undergo orchiopexy by age 10-12, and 2-6 higher in patients who have a postpubertal orchiopexy as compared to those who undergo the procedure prepubertally. Uncorrected cryptorchid testes are at significantly higher risk for the development of a seminoma, while corrected testes more frequently develop nonseminomatous neoplasia.
- Prune belly
- Bladder exstrophy
- Intersex states
- Neural tube defects
- Cerebral palsy
