Orbital rhabdomyosarcoma - External and Internal Eye
Alerts and Notices
Important News & Links
Synopsis
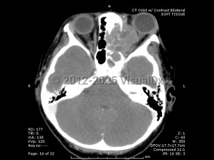
Rhabdomyosarcoma is a rare childhood cancer that affects approximately 350 children per year in the United States, with 10% of cases involving the orbit. Rhabdomyosarcoma is the most common primary orbital tumor in childhood. Patients usually present between 5 and 10 years of age, with boys having a higher incidence than girls.
Orbital rhabdomyosarcoma develops from undifferentiated mesenchymal cells that have the capacity to become striated muscle. There are several histopathologic types, including embryonal (the most common form) and alveolar (which carries the worst prognosis).
Proptosis is the most common presenting sign and may develop over the course of just a few days or a month. Often there is a history of recent trauma upon presentation of the tumor, which may lead to confusion with the diagnosis. Orbital rhabdomyosarcoma sometimes presents with strabismus or as a localized eyelid or conjunctival mass.
Survival of patients with orbital rhabdomyosarcoma has improved over the past few decades due to advances in chemotherapy and radiotherapy. Orbital rhabdomyosarcoma has a better prognosis than that occurring in other locations, with up to a 90% 5-year survival.
Orbital rhabdomyosarcoma develops from undifferentiated mesenchymal cells that have the capacity to become striated muscle. There are several histopathologic types, including embryonal (the most common form) and alveolar (which carries the worst prognosis).
Proptosis is the most common presenting sign and may develop over the course of just a few days or a month. Often there is a history of recent trauma upon presentation of the tumor, which may lead to confusion with the diagnosis. Orbital rhabdomyosarcoma sometimes presents with strabismus or as a localized eyelid or conjunctival mass.
Survival of patients with orbital rhabdomyosarcoma has improved over the past few decades due to advances in chemotherapy and radiotherapy. Orbital rhabdomyosarcoma has a better prognosis than that occurring in other locations, with up to a 90% 5-year survival.
Codes
ICD10CM:
C69.60 – Malignant neoplasm of unspecified orbit
SNOMEDCT:
302847003 – Rhabdomyosarcoma (disorder)
C69.60 – Malignant neoplasm of unspecified orbit
SNOMEDCT:
302847003 – Rhabdomyosarcoma (disorder)
Look For
Subscription Required
Diagnostic Pearls
Subscription Required
Differential Diagnosis & Pitfalls
To perform a comparison, select diagnoses from the classic differential
Subscription Required
Best Tests
Subscription Required
Management Pearls
Subscription Required
Therapy
Subscription Required
References
Subscription Required
Last Updated:12/18/2012
