Pneumomediastinum in Adult
Alerts and Notices
Important News & Links
Synopsis
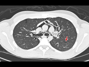
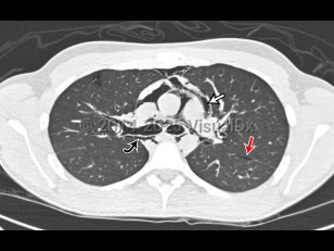
Pneumomediastinum is the presence of air in the mediastinum. It is caused by injury, most often esophageal or intestinal perforation. It is also seen as a result of aggressive bag-valve mask ventilation during resuscitation and intubation as well as a result of barotrauma in intubated patients.
Codes
ICD10CM:
J98.2 – Interstitial emphysema
SNOMEDCT:
16838000 – Mediastinal emphysema
J98.2 – Interstitial emphysema
SNOMEDCT:
16838000 – Mediastinal emphysema
Look For
Subscription Required
Best Tests
Subscription Required
Drug Reaction Data
Subscription Required
References
Subscription Required
Last Updated:04/23/2019
Pneumomediastinum in Adult
