Colon cancer
Alerts and Notices
Important News & Links
Synopsis
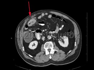
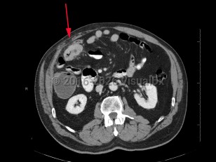
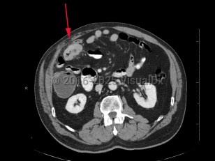
Colorectal cancer is the second leading cause of cancer death in the United States. Advanced age, male sex, smoking, a family history of colorectal cancer, and inflammatory bowel disease (especially ulcerative colitis) are the strongest risk factors for developing colorectal cancer. Overall, the incidence of colorectal cancer in older patients, particularly those aged 65 years and older, is declining, likely due to a combination of screening and changes in risk factors (eg, decreased smoking). But for patients aged younger than 55 years, the incidence of colorectal cancer has been rising. In younger patients, hereditary factors such as polyposis coli, MUTYH-associated polyposis, and hereditary nonpolyposis colon cancer (HNPCC) also increase the risk of colon cancer development. In many instances, this risk can be modified by screening or surveillance colonoscopy, as most colorectal cancers arise from adenomatous polyps, which can be fully resected. Lynch syndrome is associated with 3% of all new cases of colorectal cancer.
The most common sites of metastasis of colorectal adenocarcinoma are the liver and lungs; rarely, metastatic oral lesions occur. Cutaneous metastases of colon adenocarcinoma most commonly occur on the abdominal skin and may occur in the area of abdominal surgical scars.
Prognosis is related to cancer staging (tumor depth, lymph node involvement, metastatic spread) at time of diagnosis. Treatment often includes a combination of surgical resection and chemotherapy.
Approximately 10% of metastatic colorectal cancer patients have the BRAF V600E mutation, which is associated with a poor prognosis.
Related topic: rectal carcinoma
Codes
C18.9 – Malignant neoplasm of colon, unspecified
SNOMEDCT:
363406005 – Malignant tumor of colon
Look For
Subscription Required
Diagnostic Pearls
Subscription Required
Differential Diagnosis & Pitfalls
Subscription Required
Best Tests
Subscription Required
Management Pearls
Subscription Required
Therapy
Subscription Required
Drug Reaction Data
Subscription Required
References
Subscription Required
Last Updated:06/05/2023
