Lead poisoning
Alerts and Notices
Important News & Links
Synopsis
Lead is more harmful to children as they are able to absorb lead at a faster rate than adults. Their growth may be stunted and development impaired. Childhood lead poisoning can lead to serious health complications such as learning and hearing impairments, intellectual disability, growth retardation, and behavioral issues; convulsions, coma, and death may occur with higher levels of exposure.
Lead exposure is also a risk factor for attention deficit hyperactivity disorder (ADHD), chronic renal disease, and preterm birth. Chronic, low-level lead poisoning is a leading risk factor for increased blood pressure and reduced heart rate variability in children and cardiovascular disease and associated deaths in adults.
In children, lead paint, dust, and contaminated soil are common exposures. Risk factors include living in a home with lead-based paint or with plumbing containing lead pipes or solder. Acute poisoning in children has also been associated with ingesting or chewing on paint chips or a metal object such as metal jewelry.
Adults who work in industries such as battery manufacturing and recycling, construction work, auto repair, and lead smelting are at risk for occupational lead exposure. Other risk factors include certain hobbies (eg, making stained glass, refinishing old furniture, making ammunition) and living in a developing country.
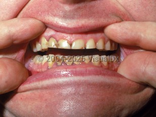
Clinical presentations are variable and dependent on patient age and severity of poisoning, but they generally include peripheral neuropathy, encephalopathy, anorexia, albuminuria, anemia, headache, hypertension, insomnia, irritability, tremor, weight loss, and gastrointestinal symptoms.
Patients can be exposed to lead via contaminated air, water, dust, soil, and commercial products. Ayurvedic medicines may contain lead, arsenic, and mercury and can cause lead poisoning and other heavy metal poisonings. Opium can be contaminated with lead. Patients with chronic lead poisoning generally will not present with symptoms until there are high levels of lead in the blood system, making early diagnosis challenging and delays in diagnosis common. A blood test will help identify lead poisoning. Treatment includes removal from the source of exposure and consists of chelation therapy in chronic lead poisoning and bowel irrigation and gastric lavage in acute lead poisoning (ingested form).
Related topic: lead nephropathy
Codes
T56.0X1A – Toxic effect of lead and its compounds, accidental (unintentional), initial encounter
SNOMEDCT:
1145155005 – Lead and lead compound poisoning
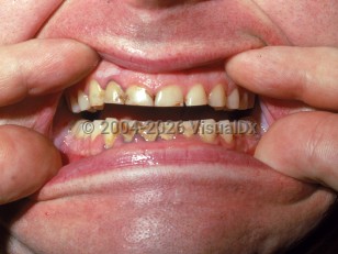
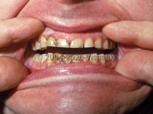
Look For
Subscription Required
Diagnostic Pearls
Subscription Required
Differential Diagnosis & Pitfalls
Subscription Required
Best Tests
Subscription Required
Management Pearls
Subscription Required
Therapy
Subscription Required
Drug Reaction Data
Subscription Required
References
Subscription Required
Last Updated:06/12/2025
