Streptococcus pneumoniae pneumonia
Alerts and Notices
Important News & Links
Synopsis
Streptococcus pneumoniae (pneumococcus), an encapsulated aerobic gram-positive diplococcus, is the most common cause of community-acquired pneumonia in adults. Ninety different serotypes have been identified based on antigenic differences in their capsular polysaccharides.
Streptococcus pneumoniae can be found colonizing the oropharynx of 5%-10% of healthy adults and up to 40%-60% of toddlers and young children in day care centers. Invasive disease (defined by the isolation of S pneumoniae from normally sterile sites such as blood, cerebrospinal fluid [CSF]) occurs worldwide at a rate of about 15 per 100 000 persons per year, but a tenfold higher incidence has been noted in African Americans, American Indians, and Australian Aborigines. Pneumococcus may be transmitted from individual to individual when there is extensive and close contact, such as in military camps, prisons, shelters, nursing homes, and day care centers. However, isolating individual patients with infection is not routinely recommended.
The single most important risk factor for invasive pneumococcal disease is the inability, either congenital or acquired, to mount an antibody response. Patients with congenital agammaglobulinemia, multiple myeloma, chronic lymphocytic leukemia, lymphoma, or HIV infection are at high risk. Those with defective neutrophil function as with alcohol use disorder, diabetes mellitus, cirrhosis of the liver, chronic corticosteroid treatment, or impaired renal function are also at a high risk. Overwhelming pneumococcal sepsis is a major threat in patients who are anatomically (from surgical resection) or functionally (due to sickle-cell anemia) asplenic.
Infection may be seen in all age groups, although it is more common in infants younger than 2 and elderly subjects older than 65. Upper respiratory viral infections, coexisting allergies, and smoking may all inhibit ciliary defense mechanisms and promote spread of the organism from the nasopharynx to the middle ear, sinuses, and lungs, from where hematogenous dissemination may occur to the brain, heart, peritoneal cavity, and other areas of the body.
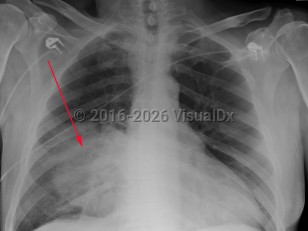
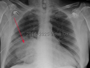
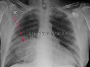
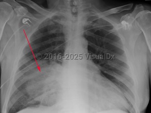
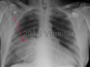
Pneumococcal pneumonia often starts as a single shaking chill. Fevers, cough with sputum, fatigue, and chest pain are common symptoms. Fever may be absent in elderly patients. Examination may reveal crackles on the affected side and signs of consolidation, like dullness to percussion and tubular breath sounds. Also present may be signs of a pleural effusion. Any new heart murmur should raise the suspicion for endocarditis. Otitis media, sinusitis, meningitis, and endocarditis are the other manifestations of pneumococcal infection.
Streptococcus pneumoniae can be found colonizing the oropharynx of 5%-10% of healthy adults and up to 40%-60% of toddlers and young children in day care centers. Invasive disease (defined by the isolation of S pneumoniae from normally sterile sites such as blood, cerebrospinal fluid [CSF]) occurs worldwide at a rate of about 15 per 100 000 persons per year, but a tenfold higher incidence has been noted in African Americans, American Indians, and Australian Aborigines. Pneumococcus may be transmitted from individual to individual when there is extensive and close contact, such as in military camps, prisons, shelters, nursing homes, and day care centers. However, isolating individual patients with infection is not routinely recommended.
The single most important risk factor for invasive pneumococcal disease is the inability, either congenital or acquired, to mount an antibody response. Patients with congenital agammaglobulinemia, multiple myeloma, chronic lymphocytic leukemia, lymphoma, or HIV infection are at high risk. Those with defective neutrophil function as with alcohol use disorder, diabetes mellitus, cirrhosis of the liver, chronic corticosteroid treatment, or impaired renal function are also at a high risk. Overwhelming pneumococcal sepsis is a major threat in patients who are anatomically (from surgical resection) or functionally (due to sickle-cell anemia) asplenic.
Infection may be seen in all age groups, although it is more common in infants younger than 2 and elderly subjects older than 65. Upper respiratory viral infections, coexisting allergies, and smoking may all inhibit ciliary defense mechanisms and promote spread of the organism from the nasopharynx to the middle ear, sinuses, and lungs, from where hematogenous dissemination may occur to the brain, heart, peritoneal cavity, and other areas of the body.
Pneumococcal pneumonia often starts as a single shaking chill. Fevers, cough with sputum, fatigue, and chest pain are common symptoms. Fever may be absent in elderly patients. Examination may reveal crackles on the affected side and signs of consolidation, like dullness to percussion and tubular breath sounds. Also present may be signs of a pleural effusion. Any new heart murmur should raise the suspicion for endocarditis. Otitis media, sinusitis, meningitis, and endocarditis are the other manifestations of pneumococcal infection.
Codes
ICD10CM:
J13 – Pneumonia due to Streptococcus pneumoniae
SNOMEDCT:
34020007 – Streptococcal pneumonia
J13 – Pneumonia due to Streptococcus pneumoniae
SNOMEDCT:
34020007 – Streptococcal pneumonia
Look For
Subscription Required
Diagnostic Pearls
Subscription Required
Differential Diagnosis & Pitfalls
To perform a comparison, select diagnoses from the classic differential
Subscription Required
Best Tests
Subscription Required
Management Pearls
Subscription Required
Therapy
Subscription Required
References
Subscription Required
Last Updated:08/26/2025
Streptococcus pneumoniae pneumonia
