Ependymoma
Alerts and Notices
Important News & Links
Synopsis
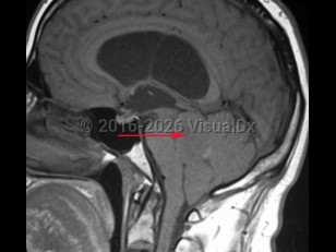
An ependymoma is a tumor of the brain or spinal cord arising from ependymal cells. Ependymomas account for 4% of central nervous system (CNS) tumors in adults and 10% of CNS tumors in children. In children, they are most often located in the 4th ventricle and posterior fossa, whereas in adults, they are more frequently located in the spinal cord. In the spinal cord, they tend to occur centrally, causing symmetric cord expansion. Peak incidence in adults occurs between 30 and 40 years of age.
Signs and symptoms depend on tumor location but may include headache, vomiting, papilledema, lethargy, ataxia, nystagmus, weakness or difficultly walking, sensory disturbance, urinary or bowel dysfunction. Ependymomas have a high incidence in patients with neurofibromatosis type 2.
Signs and symptoms depend on tumor location but may include headache, vomiting, papilledema, lethargy, ataxia, nystagmus, weakness or difficultly walking, sensory disturbance, urinary or bowel dysfunction. Ependymomas have a high incidence in patients with neurofibromatosis type 2.
Codes
ICD10CM:
C71.9 – Malignant neoplasm of brain, unspecified
SNOMEDCT:
443643007 – Ependymoma
C71.9 – Malignant neoplasm of brain, unspecified
SNOMEDCT:
443643007 – Ependymoma
Look For
Subscription Required
Diagnostic Pearls
Subscription Required
Differential Diagnosis & Pitfalls
To perform a comparison, select diagnoses from the classic differential
Subscription Required
Best Tests
Subscription Required
Management Pearls
Subscription Required
Therapy
Subscription Required
References
Subscription Required
Last Reviewed:03/12/2018
Last Updated:03/12/2018
Last Updated:03/12/2018
Ependymoma
