Glioblastoma multiforme
Alerts and Notices
Important News & Links
Synopsis
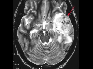
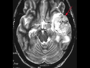
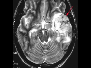
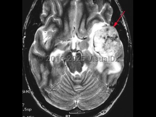
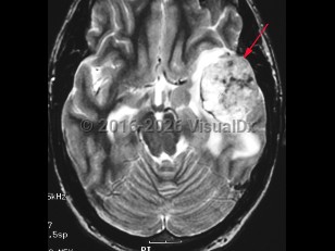
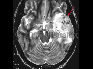
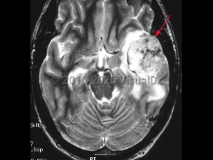
Glioblastoma multiforme is the most common primary malignant brain tumor in adults. This glial tumor is aggressive and grows quickly, invading surrounding brain tissue. Patients may present with severe persistent headaches, nausea / vomiting, seizures, memory or language impairment, or personality changes. There may also be focal deficits, such as hemiparesis, depending on the location of the tumor. Age of onset is usually 45-70 years old.
Prognosis is poor, and median survival is about 15-18 months with treatment and 3-5 months without treatment.
Prognosis is poor, and median survival is about 15-18 months with treatment and 3-5 months without treatment.
Codes
ICD10CM:
C71.9 – Malignant neoplasm of brain, unspecified
SNOMEDCT:
276828006 – Glioblastoma Multiforme of Brain
C71.9 – Malignant neoplasm of brain, unspecified
SNOMEDCT:
276828006 – Glioblastoma Multiforme of Brain
Look For
Subscription Required
Diagnostic Pearls
Subscription Required
Differential Diagnosis & Pitfalls
To perform a comparison, select diagnoses from the classic differential
Subscription Required
Best Tests
Subscription Required
Management Pearls
Subscription Required
Therapy
Subscription Required
References
Subscription Required
Last Updated:03/22/2018
Glioblastoma multiforme
