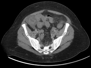
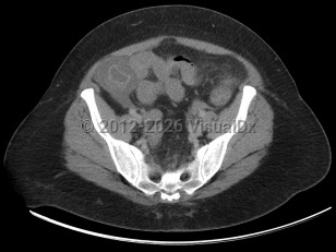
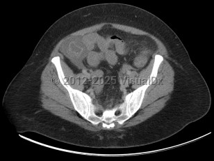
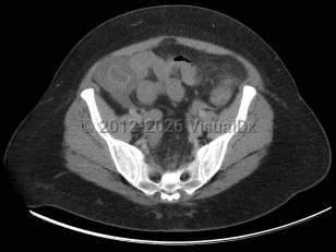
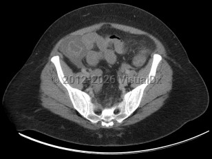
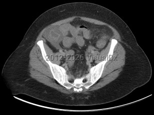
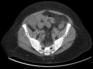
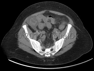
Neutropenic enterocolitis
Alerts and Notices
Important News & Links
Synopsis
Patients with leukemia undergoing cytotoxic chemotherapy are at highest risk for neutropenic enterocolitis. This was initially appreciated in pediatric patients but is seen in adults as well. Any patient with chemotherapy-induced neutropenia is at an increased risk for neutropenic enterocolitis.
Neutropenic enterocolitis commonly presents with right lower quadrant abdominal pain, diarrhea, and fever with underlying neutropenia or immune compromise. Patients can develop severe sepsis with end-organ damage and bowel perforation with progressive neutropenic enterocolitis. Early recognition and treatment of sepsis with intravenous antibiotics and volume resuscitation, along with surgical intervention if necessary, are the hallmarks of treatment that can improve mortality. If untreated, neutropenic enterocolitis can be fatal.
Codes
K52.9 – Noninfective gastroenteritis and colitis, unspecified
SNOMEDCT:
240358005 – Neutropaenic enterocolitis
Look For
Subscription Required
Diagnostic Pearls
Subscription Required
Differential Diagnosis & Pitfalls
Subscription Required
Best Tests
Subscription Required
Management Pearls
Subscription Required
Therapy
Subscription Required
Drug Reaction Data
Subscription Required
References
Subscription Required
Last Updated:04/19/2018
