- Obtain cultures and administer broad-spectrum antibiotics (coverage for gram-negative organisms, consult local antibiogram).
- Evaluate for sepsis and the need for fluid resuscitation (30 cc/kg bolus, if not contraindicated).
- Obtain surgical consultation.
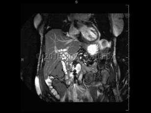
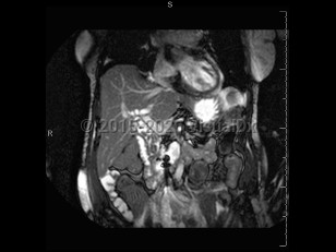
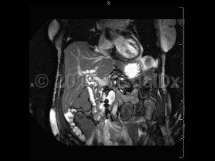
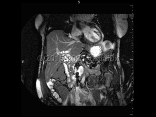
Acute cholangitis is acute inflammation and subsequent infection of the common bile duct. Acute cholangitis typically occurs in the setting of obstruction of the common bile duct. Common etiologies of obstruction include gallstones, strictures (from pancreatitis, biliary procedures, or autoimmune conditions), and malignancy. External compression from the duodenum may also result in obstruction and stasis.
Bile stasis leads to the entry of gastrointestinal bacteria into the normally sterile biliary tree. Gram-negative bacteria, most notably Escherichia coli and Klebsiella pneumoniae, are the most common.
Demographics and risk factors of cholangitis:
Choledocholithiasis – Seen in approximately 50% of cases, choledocholithiasis is the most common risk factor for acute cholangitis. Therefore, factors that predispose to cholelithiasis (gallstones) also predispose to cholangitis.
Risk factors for choledocholithiasis:
- Advanced age
- Female sex (estrogen is thought to be associated with gallstone formation)
- Pregnancy; associated with cholestasis, cholangitis accounts for less than 7% of jaundice in pregnancy
- Abnormal biliary anatomy
- Dilated biliary ducts (sometimes from previous choledocholithiasis)
- Chronic infection (Helicobacter pylori or Enterobacter spp)
Endoscopic retrograde cholangiopancreatography (ERCP) – Recent instrumentation of the biliary tree, including ERCP with or without stenting, is a known risk factor for acute cholangitis. The reported incidence of acute cholangitis following ERCP is 1%-5%, with higher rates observed in those with stent placement.
Pregnancy – Cholestasis with or without gallstone formation can complicate pregnancy. Cholangitis can occur during any trimester. Overall, cholangitis is rare in pregnancy and accounts for less than 7% of jaundice in pregnancy.
AIDS – Biliary disease occurs via 2 mechanisms in patients with AIDS:
- AIDS cholangiopathy (commonly due to Cryptosporidium or cytomegalovirus)
- Acute acalculous cholecystitis
Ascariasis – This is a geographical risk factor observed in regions of China and Southeast Asia. It can cause cholecystitis, cholangitis, hepatic abscess, and pancreatitis.
Other parasites – In Asia, Clonorchis sinensis, Opisthorchis felineus, Opisthorchis viverrini, and Fasciola hepatica are associated with acute and relapsing cholangitis. Clonorchis and Opisthorchis parasitic infections are known risk factors for the development of cholangiocarcinoma in Asia.
Clinical manifestations of cholangitis:
Classically, signs and symptoms include Charcot's triad and Reynolds' pentad. However, while these classic constellations of symptoms are very specific, they have very poor sensitivity and should not be relied upon in clinical practice.
Charcot's triad (95.9% specific, 26.4% sensitive):
- Fever
- Right upper quadrant (RUQ) abdominal pain
- Jaundice
- Charcot's triad
- Altered mental status
- Hypotension
More recently, the Tokyo Guidelines include laboratory tests and imaging to further define the diagnosis of cholangitis (MDCalc: Tokyo Guidelines).
Related topics: primary biliary cholangitis, primary sclerosing cholangitis
