Metabolic dysfunction-associated steatotic liver disease
Alerts and Notices
Important News & Links
Synopsis
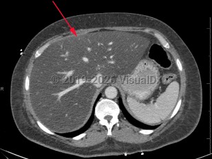
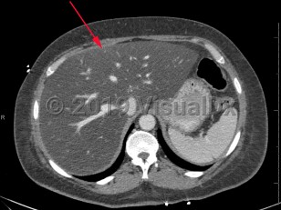
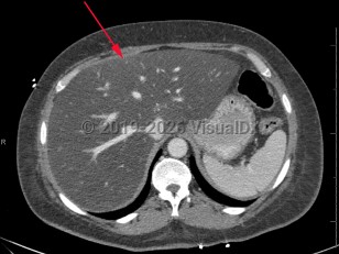
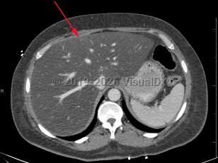
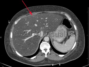
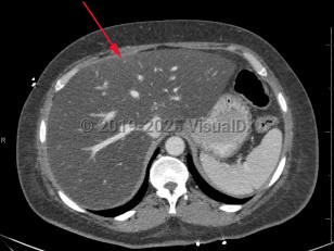
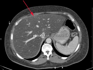
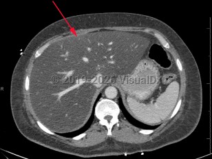
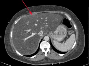
Screening for MASLD is of the utmost importance in patients with underlying risk factors, primarily obesity and metabolic syndrome, as it is often asymptomatic. American Diabetes Association (ADA) guidelines recommend routine MASLD screening in patients with diabetes and prediabetes. Some patients report vague symptoms such as fatigue or mild right upper quadrant abdominal pain. If MASLD progresses to cirrhosis, patients will often present with signs and symptoms of advanced liver disease: spider angiomata, gynecomastia, ascites, jaundice, and peripheral edema. Cardiovascular disease is the leading cause of death in persons with MASLD.
The primary risk factors for MASLD are central obesity, type 2 diabetes mellitus, and hyperlipidemia. Modification of these risk factors, mostly through weight loss and dietary and lifestyle changes, is the most effective preventive and treatment strategy.
Codes
K76.0 – Fatty (change of) liver, not elsewhere classified
SNOMEDCT:
1231824009 – Metabolic dysfunction-associated steatotic liver disease
Look For
Subscription Required
Diagnostic Pearls
Subscription Required
Differential Diagnosis & Pitfalls
Subscription Required
Best Tests
Subscription Required
Management Pearls
Subscription Required
Therapy
Subscription Required
Drug Reaction Data
Subscription Required
References
Subscription Required
Last Updated:11/23/2025
