Chronic pancreatitis
Alerts and Notices
Important News & Links
Synopsis
Risk factors for chronic pancreatitis include alcohol use, smoking, and genetic mutations. Alcohol use disorder, cystic fibrosis, autoimmune pancreatitis (see IgG4-related disease), and chronic biliary ductal obstruction are among the most common etiologies. Autoimmune pancreatitis is a rare, chronic disease with varied presentation, often mimicking pancreatic malignancy, making diagnosis challenging. Autoantibodies in the pancreas cause inflammation and enlargement. The most common genetic mutations implicated in the pathogenesis of chronic pancreatitis are cystic fibrosis transmembrane conductance regulator (CFTR), serine protease inhibitor Kazal type 1 (SPINK1), and chymotrypsin C (CTC).
Chronic pancreatitis is most common in men, and it is more common in Black individuals than White individuals.
A juvenile form, tropical chronic pancreatitis (TCP), is a nonalcoholic calcific pancreatitis of uncertain etiology seen in tropical regions of the world that affects children and young adults; TCP can lead to fibrocalculous pancreatic diabetes and pancreatic cancer.
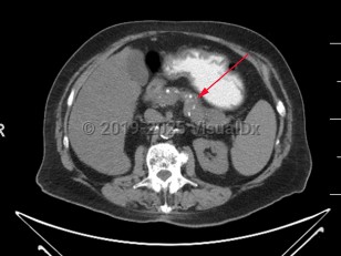
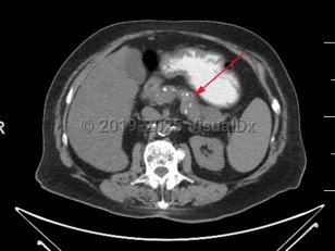
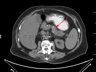
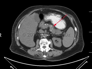
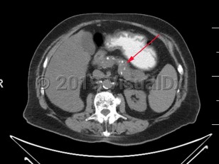
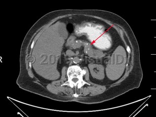
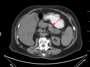
The diagnosis of chronic pancreatitis can be challenging and relies on a combination of symptomatology, histologic, radiographic, and endoscopic findings. There is no single gold standard test to confirm the diagnosis. Some patients present with recurrent episodes of epigastric abdominal pain and pancreatic enzyme elevation, while others can present with asymptomatic diabetes mellitus and be found to have chronic pancreatitis. Regardless of the predisposing medical condition precipitating the development of chronic pancreatitis, radiographically, pancreatic atrophy and calcification with a dilated pancreatic duct are often but not always seen. Histologically, pancreatic fibrosis, duct distortion, and intra-ductal calcification are often but not always appreciated.
Related topics: acute pancreatitis, pancreatic panniculitis
Codes
K86.1 – Other chronic pancreatitis
SNOMEDCT:
235494005 – Chronic pancreatitis
Look For
Subscription Required
Diagnostic Pearls
Subscription Required
Differential Diagnosis & Pitfalls
Subscription Required
Best Tests
Subscription Required
Management Pearls
Subscription Required
Therapy
Subscription Required
Drug Reaction Data
Subscription Required
References
Subscription Required
