Potentially life-threatening emergency
Emphysematous cholecystitis
Alerts and Notices
Important News & Links
Synopsis
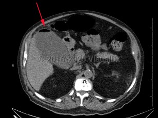
Emphysematous cholecystitis is a rare variation of acute cholecystitis caused by secondary infection of the gallbladder wall with gas-forming bacteria such as Clostridium welchii, Clostridium perfringens, Escherichia coli, and Bacteroides fragilis as well as Pseudomonas, staphylococci, and streptococci. Men between the ages of 50 and 70 are most frequently affected. Type 2 diabetes and gallstones are common in affected patients. Emphysematous cholecystitis can also arise due to ischemia from atherosclerosis of the cystic artery.
Common presenting symptoms are similar to those for acute cholecystitis and include upper right quadrant abdominal pain, nausea, vomiting, and low-grade fever. On physical exam, abdominal wall crepitus may be palpated in the area overlying the gallbladder. Common complications include gangrene, perforation, pericholecystic abscess, and peritonitis. Uncommon complications include pneumoperitoneum.
Emergent antibiotic therapy followed by cholecystectomy is the treatment of choice due to increased risk of perforation.
Common presenting symptoms are similar to those for acute cholecystitis and include upper right quadrant abdominal pain, nausea, vomiting, and low-grade fever. On physical exam, abdominal wall crepitus may be palpated in the area overlying the gallbladder. Common complications include gangrene, perforation, pericholecystic abscess, and peritonitis. Uncommon complications include pneumoperitoneum.
Emergent antibiotic therapy followed by cholecystectomy is the treatment of choice due to increased risk of perforation.
Codes
ICD10CM:
K81.0 – Acute cholecystitis
SNOMEDCT:
32067005 – Acute emphysematous cholecystitis
K81.0 – Acute cholecystitis
SNOMEDCT:
32067005 – Acute emphysematous cholecystitis
Look For
Subscription Required
Diagnostic Pearls
Subscription Required
Differential Diagnosis & Pitfalls
To perform a comparison, select diagnoses from the classic differential
Subscription Required
Best Tests
Subscription Required
Management Pearls
Subscription Required
Therapy
Subscription Required
References
Subscription Required
Last Reviewed:05/20/2018
Last Updated:05/20/2018
Last Updated:05/20/2018
Potentially life-threatening emergency
Emphysematous cholecystitis
