Contents

SynopsisCodesDifferential Diagnosis & PitfallsBest TestsReferences

View all Images (4)

Tricuspid atresia
Other Resources UpToDate PubMed

Tricuspid atresia

Contributors: Ryan Hoefen MD, PhD
Other Resources UpToDate PubMed

Synopsis

Congenital lack of tricuspid valve formation resulting in cyanosis and a murmur. An atrial septal defect, hypoplastic right ventricle, and ventricular septal defect are generally present. Other congenital lesions such as transposition of the great arteries may also be present. About half of cases present with cyanosis and a murmur on the day of birth. An additional 30% are diagnosed in the first month. With advances in fetal ultrasound, tricuspid atresia can be diagnosed on antenatal screening at 18-22 weeks gestation. If untreated, mortality is very high with 1-year survival estimated at 10%.

Codes

ICD10CM:
Q22.4 – Congenital tricuspid stenosis

SNOMEDCT:
63042009 – Congenital atresia of tricuspid valve

Differential Diagnosis & Pitfalls

To perform a comparison, select diagnoses from the classic differential

Subscription Required

Best Tests

Subscription Required

References

Subscription Required

Last Updated:01/25/2022
Copyright © 2025 VisualDx®. All rights reserved.
Tricuspid atresia
A medical illustration showing key findings of Tricuspid atresia : Cyanosis, Heart murmur, Hypoxemia
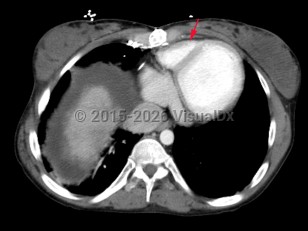
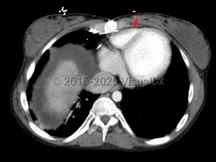
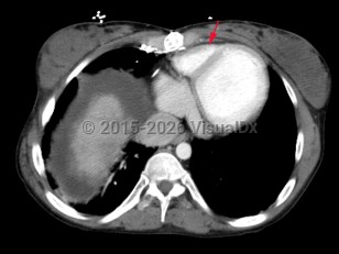
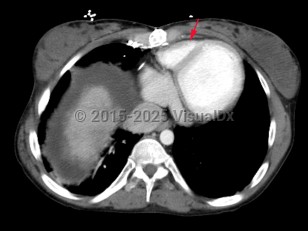
Imaging Studies image of Tricuspid atresia - imageId=6847804. Click to open in gallery.  caption: '<span>Axial CT image of the chest  demonstrates a hypoplastic right ventricle consistent with patient's history of congenital  tricuspid atresia.</span>'
Axial CT image of the chest demonstrates a hypoplastic right ventricle consistent with patient's history of congenital tricuspid atresia.
Copyright © 2025 VisualDx®. All rights reserved.