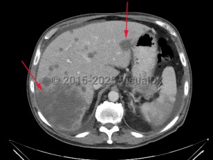
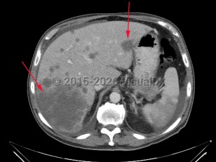
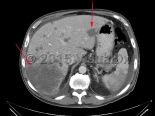
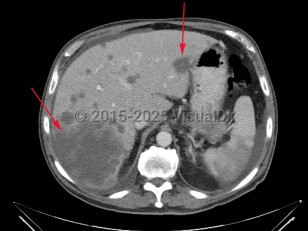
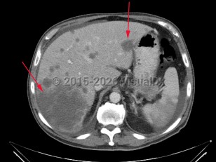
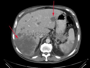
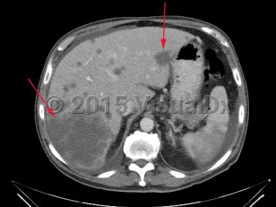
Liver cancer refers to a malignancy that arises primarily within the liver. There are several types of liver cancers. Hepatocellular carcinoma, accounting for approximately 75% of primary liver cancers, is due to malignant transformation in hepatocytes. This is most commonly seen in patients with cirrhosis of any etiology (eg, chronic viral hepatitis, alcohol-related liver disease, nonalcoholic steatohepatitis). Cholangiocarcinoma is the second most common primary liver cancer, accounting for approximately 10%-20% of cases. This is a cancer of bile duct origin.
There are several rare types of liver cancer. Angiosarcoma and epithelioid hemangioendothelioma arise from mesenchymal cells. Intraductal papillary neoplasm and mucinous cystic neoplasm with invasive carcinoma arise from the bile ducts.
Hepatoblastoma is another primary liver malignancy arising from hepatocytes. This cancer is more common in children younger than 3 years old. It is associated with some genetic conditions, such as Beckwith-Wiedemann syndrome, Wilson disease, and familial adenomatous polyposis.
Many malignancies can metastasize to the liver. Frequently, patients with uveal melanoma may have liver metastases. In rare circumstances, lymphomas can present with primary manifestation in the liver.
Liver cancer
Alerts and Notices
Important News & Links
Synopsis
Codes
ICD10CM:
C22.9 – Malignant neoplasm of liver, not specified as primary or secondary
SNOMEDCT:
93870000 – Malignant neoplasm of liver
C22.9 – Malignant neoplasm of liver, not specified as primary or secondary
SNOMEDCT:
93870000 – Malignant neoplasm of liver
Look For
Subscription Required
Diagnostic Pearls
Subscription Required
Differential Diagnosis & Pitfalls
To perform a comparison, select diagnoses from the classic differential
Subscription Required
Best Tests
Subscription Required
Management Pearls
Subscription Required
Therapy
Subscription Required
References
Subscription Required
Last Reviewed:03/27/2018
Last Updated:11/17/2021
Last Updated:11/17/2021
Liver cancer
