- SCC – Has a striking geographic distribution spanning from China to parts of Iran, central Asia, Afghanistan, Siberia, and Mongolia. Exists in the United States, where it is more common in individuals of African descent than those of Northern European descent and in males than females, and tends to affect people of lower socioeconomic status. Tends to arise in the cervical and thoracic portion of the esophagus. Risk factors include alcohol intake and cigarette smoking, with these factors acting synergistically to increase risk. The risk factors account for around 90% of SCC in the United States.
- Adenocarcinoma – There has been an increase in incidence, with this histologic phenotype accounting for 75% of all new esophageal carcinomas. More common in males of Northern European descent with a male-to-female ratio of 6:1. Arises within the dysplastic columnar epithelium of the distal esophagus, particularly at the gastroesophageal junction, with gastroesophageal reflux disease and Barrett esophagus being primary risk factors.
Esophageal carcinoma
Alerts and Notices
Important News & Links
Synopsis
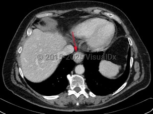
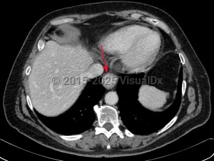
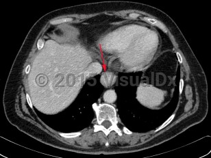
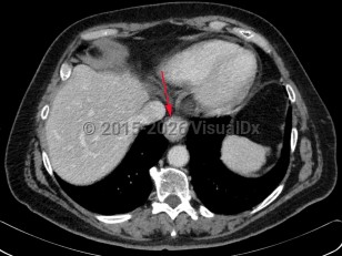
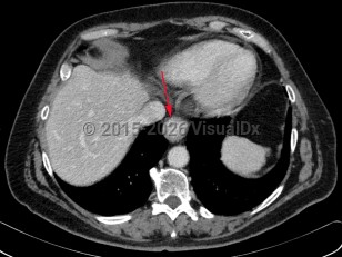
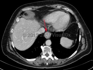
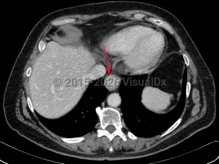
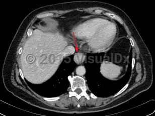
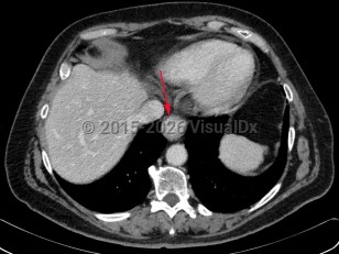
Esophageal carcinoma is a malignancy arising from the esophageal mucosa. There are 2 major histologic types: squamous cell carcinoma (SCC) and adenocarcinoma.
Codes
ICD10CM:
C15.9 – Malignant neoplasm of esophagus, unspecified
SNOMEDCT:
363402007 – Malignant tumor of esophagus
C15.9 – Malignant neoplasm of esophagus, unspecified
SNOMEDCT:
363402007 – Malignant tumor of esophagus
Look For
Subscription Required
Diagnostic Pearls
Subscription Required
Differential Diagnosis & Pitfalls
To perform a comparison, select diagnoses from the classic differential
Subscription Required
Best Tests
Subscription Required
Management Pearls
Subscription Required
Therapy
Subscription Required
References
Subscription Required
Last Reviewed:12/12/2017
Last Updated:04/19/2021
Last Updated:04/19/2021
Esophageal carcinoma
