Search Results
DDx Strength: Weak
Chest pain, Dizziness, 50-59 year old Female

Edit Findings
Acute coronary syndrome
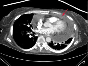
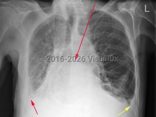
Aortic dissectionAortic dissection
Paroxysmal supraventricular tachycardia
Post-COVID conditions
Complete atrioventricular block
Herpes zosterHerpes zoster
Drug-induced hypotension
Cardiac tamponadeCardiac tamponade
Hypertensive emergency
Ventricular fibrillation
American trypanosomiasisAmerican trypanosomiasis
Postural orthostatic tachycardia syndrome
Disseminated herpes zoster
Hyperventilation syndrome
Ventricular tachycardia
Orthostatic hypotension
Anaphylaxis
Congestive heart failureCongestive heart failure
Coronary artery disease
Generalized anxiety disorder
InfluenzaInfluenza
Costochondritis
Aortic stenosisAortic stenosis
Atrioventricular nodal reentry tachycardia
Atrioventricular reentry tachycardia
Respiratory alkalosis
Wolff-Parkinson-White pattern
Atrial fibrillation
Carbon monoxide poisoning
Sinus bradycardia
Synthetic cannabinoid poisoning
Complex partial seizure
Gastric ulcer
Hypertrophic cardiomyopathyHypertrophic cardiomyopathy
Seizure
Sickle cell acute pain crisis
Air embolism
Essential thrombocythemia
Second-degree atrioventricular block
Atrial tachycardia
Cor pulmonale
CryoglobulinemiaCryoglobulinemia
CryptococcosisCryptococcosis
Decompression sickness
EVALI
Hydrazine poisoning
Nitrogen dioxide poisoning
Waldenström macroglobulinemia
Addison diseaseAddison disease
Adrenal crisis
AL amyloidosisAL amyloidosis
Atrial flutter
Diffuse large B-cell lymphoma
Fabry diseaseFabry disease
Fibromuscular dysplasia
Lassa fever
Mushroom poisoning
Parainfluenza virus infection
Poisoning caused by sedative
Pulmonary arteriovenous malformation