Search Results
DDx Strength: Weak
Heart palpitations, Anxiety, 50-59 year old Female

Edit Findings
Hyperthyroidism
Post-COVID conditions
Generalized anxiety disorder
Posttraumatic stress disorder
Panic disorder
Paroxysmal supraventricular tachycardia
Hypertensive emergency
Sympathomimetic toxicity
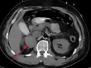
PheochromocytomaPheochromocytoma
Postural orthostatic tachycardia syndrome
Thyroid storm
Pure autonomic failure
Depressive disorders
Atrioventricular nodal reentry tachycardia
Serotonin toxicity
Alcohol withdrawal syndrome
Pulmonary embolismPulmonary embolism
Secondary amenorrhea
Acute cannabis intoxication
Addison diseaseAddison disease
PericarditisPericarditis
Mast cell activation syndrome
Methemoglobinemia
Insulin autoimmune syndrome
Hypoglycemia
Atrial fibrillation
Benzodiazepine withdrawal syndrome
Synthetic cannabinoid poisoning
Cocaine intoxication and use disorder
Impulse control disorders
Exogenous thyroid hormone abuse
Atrial flutter
Cocaine-related cardiomyopathy
ThyroiditisThyroiditis
Drug-induced anemia
Mastocytosis in adultsMastocytosis in adults
Multisystem inflammatory syndrome in adults
Hyperventilation syndrome
Mitral valve prolapse
Congestive heart failureCongestive heart failure
Coronary artery disease
Menopause
Obstructive sleep apnea
Orthostatic hypotension
Adult physical abuse
Cannabis use disorder
Complex partial seizure
Fibromyalgia
Hypokalemia
Seizure
Ulcerative colitis
Ventricular tachycardia
Acute coronary syndrome
DehydrationDehydration
Iron deficiency anemiaIron deficiency anemia
Somatic symptom and related disorders
Cannabinoid hyperemesis syndrome
Fabry diseaseFabry disease
Multiple endocrine neoplasia type 2A
Mushroom poisoning