Search Results
DDx Strength: Weak
Heart palpitations, Headache, 50-59 year old Female

Edit Findings
Post-COVID conditions
Hypertensive emergency
Hyperthyroidism
Sympathomimetic toxicity
Acute mountain sickness
Postural orthostatic tachycardia syndrome
High-altitude cerebral edema
Methemoglobinemia
Pure autonomic failure
DehydrationDehydration
Obstructive sleep apnea
Hypoglycemia
Panic disorder
Paroxysmal supraventricular tachycardia
Alcohol withdrawal syndrome
Benzodiazepine withdrawal syndrome
Cholinergic urticariaCholinergic urticaria
Cocaine intoxication and use disorder
Digitalis toxicity
Secondary amenorrhea
Synthetic cannabinoid poisoning
Scombroid fish poisoningScombroid fish poisoning
Exogenous thyroid hormone abuse
Myocarditis
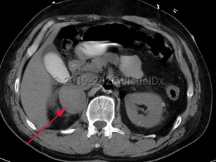
PheochromocytomaPheochromocytoma
Acute cannabis intoxication
Mast cell activation syndrome
Multisystem inflammatory syndrome in adults
Insulin autoimmune syndrome
Generalized anxiety disorder
Depressive disorders
Iron deficiency anemiaIron deficiency anemia
Orthostatic hypotension
Lyme diseaseLyme disease
Acute myeloid leukemiaAcute myeloid leukemia
Adult physical abuse
Cannabis use disorder
Drug-induced hypotension
Fibromyalgia
Seizure
Addison diseaseAddison disease
American trypanosomiasisAmerican trypanosomiasis
Atrial flutter
Decompression sickness
Mushroom poisoning
Pernicious anemiaPernicious anemia
StrongyloidiasisStrongyloidiasis
Cold agglutinin diseaseCold agglutinin disease
Fabry diseaseFabry disease
High-altitude pulmonary edema
Primary aldosteronism
Pulmonary arteriovenous malformation
SclerodermaScleroderma
Simple partial seizure
Somatic symptom and related disorders
Spinocerebellar ataxias
Drug-induced anemia
Dumping syndrome
Lemierre syndrome
Spontaneous coronary artery dissection