Contents

SynopsisCodesLook ForDiagnostic PearlsDifferential Diagnosis & PitfallsBest TestsManagement PearlsTherapyDrug Reaction DataReferences

View all Images (5)

Bladder cancer
Other Resources UpToDate PubMed

Bladder cancer

Contributors: Abhijeet Waghray MD, Paritosh Prasad MD
Other Resources UpToDate PubMed

Synopsis

Bladder cancer is the most common cancer affecting the genitourinary system, with urothelial (transitional) cell cancers accounting for 90% of bladder carcinomas in the United States and Europe. Other histologic types of bladder cancer include squamous cell carcinoma, adenocarcinomas, and small cell neuroendocrine carcinomas.

Risk factors for development of bladder carcinoma include advancing age, male sex, being of Northern European descent, and cigarette smoking. Occupations with exposures linked to increased risk of bladder cancer include metal workers, painters, leather workers, miners, excavating-machine operators, and manufacturers of carpets, paints, plastics, and industrial chemicals.

Patients with bladder cancer typically present with painless gross or microscopic hematuria, although dysuria, frequency, and urgency may be the presenting symptoms. Diagnosis may be delayed due to the similarity of these symptoms to benign conditions such as urinary tract infections, nephrolithiasis, cystitis, or prostatitis. Urothelial cancer may mimic bladder cancer. In patients younger than 50 years, asymptomatic microscopic hematuria is rarely associated with bladder cancer.

Treatment options depend on depth of tumor invasion and presence or absence of metastatic disease. Transurethral resection of bladder tumor (TURBT) may be combined with adjuvant chemotherapy for early-stage disease with radical cystectomy and/or chemotherapy in late-stage disease.

Codes

ICD10CM:
C67.9 – Malignant neoplasm of bladder, unspecified

SNOMEDCT:
399326009 – Malignant tumor of urinary bladder

Look For

Subscription Required

Diagnostic Pearls

Subscription Required

Differential Diagnosis & Pitfalls

To perform a comparison, select diagnoses from the classic differential

Subscription Required

Best Tests

Subscription Required

Management Pearls

Subscription Required

Therapy

Subscription Required

Drug Reaction Data

Subscription Required

References

Subscription Required

Last Reviewed:03/29/2018
Last Updated:10/21/2020
Copyright © 2026 VisualDx®. All rights reserved.
Bladder cancer
A medical illustration showing key findings of Bladder cancer : Bone pain, Urinary frequency, Dysuria, Gross hematuria
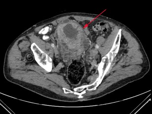
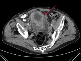
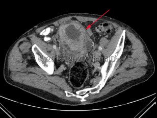
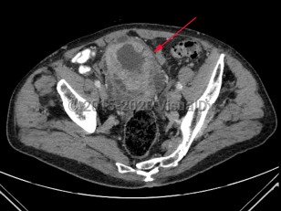
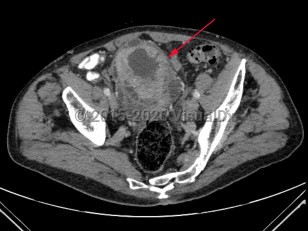
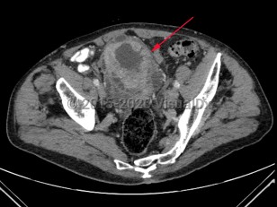
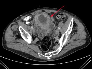
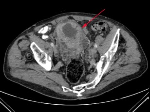
Imaging Studies image of Bladder cancer - imageId=7885454. Click to open in gallery.  caption: '<span>Axial image from an enhanced CT scan of the pelvis  demonstrating marked irregular wall thickening of the bladder.</span>'
Axial image from an enhanced CT scan of the pelvis demonstrating marked irregular wall thickening of the bladder.
Copyright © 2026 VisualDx®. All rights reserved.