Renal cysts
Alerts and Notices
Important News & Links
Synopsis
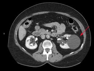
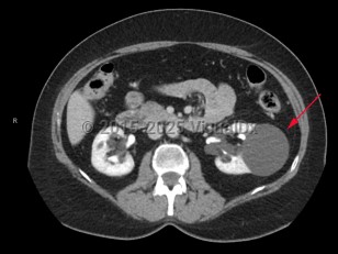
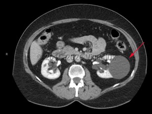
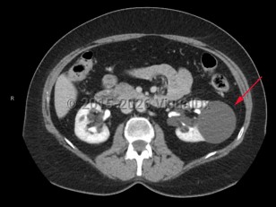
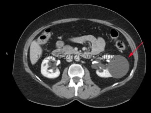
Simple renal cysts are common renal lesions (70%); the majority are benign, and further imaging is not required.
The most common form of cystic renal disease is due to autosomal dominant polycystic kidney disease (PKD) and accounts for 8%-10% of all causes of end-stage renal disease. The develoment of renal cysts has also been associated with diuretic use as well as some medications.
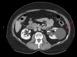
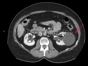
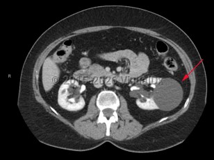
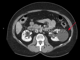
The presentation of renal cysts varies based on the cause, and physical examination may reveal a palpable flank or abdominal mass. Radiographic findings of a thick irregular wall, thick septations, or multilocular findings are concerning for malignancy.
Codes
N28.1 – Cyst of kidney, acquired
Q61.00 – Congenital renal cyst, unspecified
SNOMEDCT:
722223000 – Cyst of kidney
Look For
Subscription Required
Diagnostic Pearls
Subscription Required
Differential Diagnosis & Pitfalls
Subscription Required
Best Tests
Subscription Required
Management Pearls
Subscription Required
Therapy
Subscription Required
Drug Reaction Data
Subscription Required
References
Subscription Required
Last Updated:04/18/2018
