Contents

SynopsisCodesLook ForDiagnostic PearlsDifferential Diagnosis & PitfallsBest TestsManagement PearlsTherapyReferences

View all Images (6)

Polycystic kidney disease
Other Resources UpToDate PubMed

Polycystic kidney disease

Contributors: Casey Silver MD, Catherine Moore MD, Abhijeet Waghray MD
Other Resources UpToDate PubMed

Synopsis

Polycystic kidney disease (PKD) is an autosomal dominant (or, less often, autosomal recessive) disorder characterized by numerous cysts in the kidneys, which may lead to end-stage renal failure. The autosomal dominant trait is associated with mutations in either PKD1 (which encodes polycystin-1) or PKD2 (which encodes polycystin-2). A minority of patients with PKD have a defect unrelated to PKD1 or PKD2. PKD1 mutations are more common and correlate with an earlier age of disease onset as well as more rapid decline in renal function.

Patients with autosomal dominant inheritance usually manifest symptoms at around 30 years of age; symptoms include abdominal pain, hematuria, and high blood pressure. Hypertension is very common and precedes the onset of overt renal dysfunction. Complications specific to renal cysts include cyst rupture, cyst infection, and nephrolithiasis.

Patients may develop brain aneurysms and liver cysts. Typically, this has a strong familial pattern, and the risk of cerebral aneurysm in patients with PKD is highest in those who have family members who have had aneurysms.

Children with autosomal recessive inheritance often manifest in the first decade of life and may develop progressive renal failure and hepatic fibrosis. The autosomal recessive trait is associated with mutations to the PKHD1 gene.

Treatment is supportive and focuses on blood pressure control, proteinuria management, and decreasing any other risks of kidney disease progression. No specific treatment has been shown to prevent or delay progression of renal dysfunction.

Codes

ICD10CM:
Q61.3 – Polycystic kidney, unspecified

SNOMEDCT:
28770003 – Polycystic kidney disease, infantile type
765330003 – Autosomal dominant polycystic kidney disease

Look For

Subscription Required

Diagnostic Pearls

Subscription Required

Differential Diagnosis & Pitfalls

To perform a comparison, select diagnoses from the classic differential

Subscription Required

Best Tests

Subscription Required

Management Pearls

Subscription Required

Therapy

Subscription Required

References

Subscription Required

Last Reviewed:02/20/2019
Last Updated:01/20/2022
Copyright © 2026 VisualDx®. All rights reserved.
Polycystic kidney disease
A medical illustration showing key findings of Polycystic kidney disease (Autosomal dominant) : Abdominal pain, Flank pain, Abdominal mass, Hematuria, Low back pain, Nephromegaly, BP increased
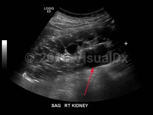
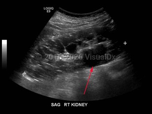
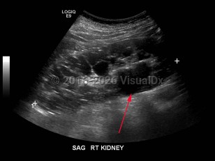
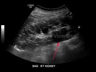
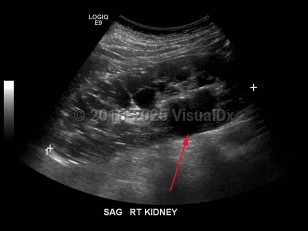
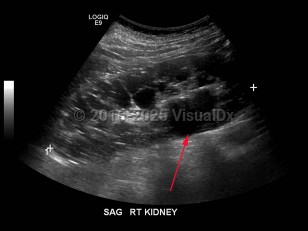
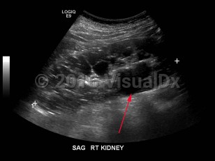
Imaging Studies image of Polycystic kidney disease - imageId=7911488. Click to open in gallery.  caption: '<span>Grayscale ultrasound image demonstrates enlarged right kidney with multiple cysts, some simple and others complex. The left kidney had a similar appearance.</span>'
Grayscale ultrasound image demonstrates enlarged right kidney with multiple cysts, some simple and others complex. The left kidney had a similar appearance.
Copyright © 2026 VisualDx®. All rights reserved.