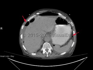
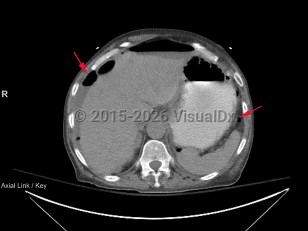
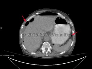
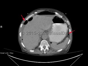
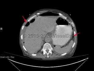
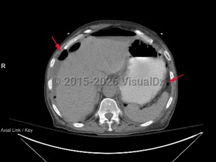
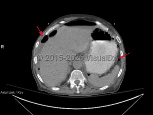
Bowel perforation
Alerts and Notices
Important News & Links
Synopsis
Causes of perforation include peptic ulcer disease (mostly duodenal), small and large bowel malignancies with tissue invasion, acute diverticulitis, acute appendicitis in the elderly population, inflammatory bowel disease (Crohn disease, ulcerative colitis), trauma, consequence of ischemic injury, and ingestion of foreign bodies (including fish or poultry bones), or it may occur as a complication of endoscopic procedures.
A patient will typically present with abdominal pain as well as signs of severe inflammatory response syndrome (SIRS criteria). The patient may have an acute abdominal examination with a rigid abdomen and minimal to no bowel sounds, although the examination can be misleading and may be unremarkable (particularly in immunocompromised patients or those on steroids).
The etiology of the perforation often depends on the history. Recent endoscopic procedures, known malignancies, prior bouts of diverticulitis, or a history of inflammatory bowel disease provide insight into the potential underlying cause of a perforation.
Codes
K63.1 – Perforation of intestine (nontraumatic)
SNOMEDCT:
56905009 – Perforation of intestine
Look For
Subscription Required
Diagnostic Pearls
Subscription Required
Differential Diagnosis & Pitfalls
Subscription Required
Best Tests
Subscription Required
Management Pearls
Subscription Required
Therapy
Subscription Required
Drug Reaction Data
Subscription Required
References
Subscription Required
Last Updated:05/28/2025
